
Got Bunions? Get Lapiplasty®
3D Bunion Correction™
• Fixes the root cause (an unstable joint)
• Provides a 3D fix for a 3D problem
• Get back on your feet quickly in a walking boot1
Are Bunions Limiting Your Activities and Lifestyle?
Bunions can be very painful. With each step, your entire body weight rests on that bunion. Ouch! Conservative treatment options can help alleviate pain, but will not fix the problem because bunions are a progressive disorder that will not go away on their own without surgical correction.2
Bunions Are More Than a Bump
Bunion Surgery Has Changed
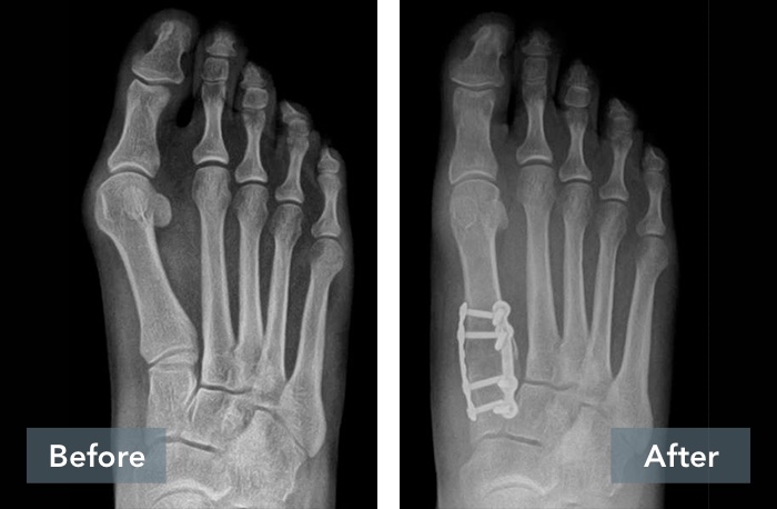
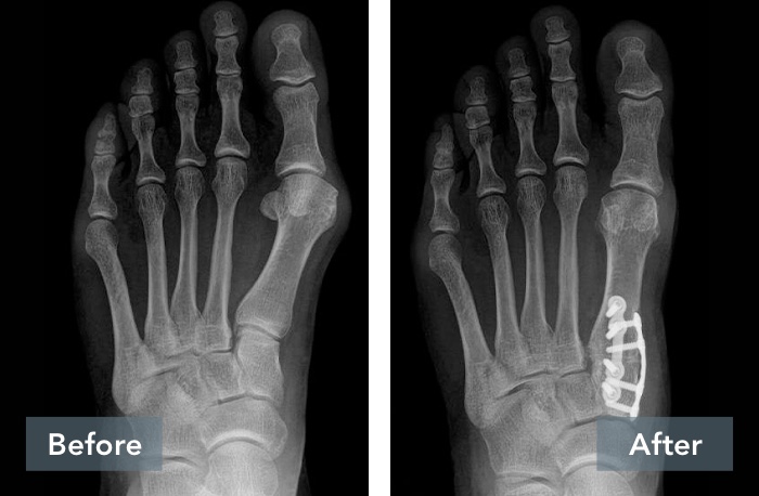
A common misconception is that a bunion is simply a “bump” that can be “shaved off.” But, bunions are more than a bump – they are complex 3D problems caused by an unstable joint in the middle of the foot. While the majority of bunion surgery is only 2D and fails to address the root cause, Lapiplasty® provides a 3D correction and secures the unstable joint.
Lapiplasty®
3D Bunion Correction
- Returns entire bone to normal alignment; a 3D correction
- Secures the root cause; an unstable joint
- Get back on your feet quickly in a boot; many cases within 2 weeks
Traditional
2D Bunion Surgery
- Unnaturally cuts & shifts bone; only a 2D correction
- Addresses cosmetic “bump” only; not the root cause
- Keep completely off your feet for up to 6-8 weeks
Fix It Right The First Time™
How Does Lapiplasty®
3D Bunion Correction™ Work?
While traditional 2D osteotomy surgery merely cuts & shifts the bone to address the cosmetic bump, Lapiplasty® 3D Bunion Correction™ does more — it corrects the entire bone in 3D and secures the unstable foundation to get you back on your feet quickly in a walking boot. The Lapiplasty® Procedure has also shown low recurrence; 97% and 99% maintain 3D correction in 13 and 17 months respectively.1,3
Get Back on Your Feet Quickly
Recovery From Lapiplasty®
A typical recovery timeline is detailed below. However, timepoints and doctor’s orders vary based on each patient’s condition. Be sure to ask your doctor what your particular recovery protocol will look like.

Within Days
Begin to put some weight on your foot1

Next 4-6 Weeks
Walk in a boot and return to daily activities

At 6-8 Weeks
Transition back into comfortable shoes

At 4-6 Months
Resume most activities and return to normal footwear
See the Results
Lapiplasty® Before & After Results



Changing Bunion Correction for Good
The Positive Effect of Lapiplasty®

Americans are affected by a bunion deformity.

of Lapiplasty® patients maintained their 3D bunion correction at 13 months.1

average days for Lapiplasty® patients to begin bearing weight on their operative foot in a boot.1

clinical publications directly support the Lapiplasty® procedure.
Real People, Real Stories
Hear What Patients Are Saying About
Lapiplasty® 3D Bunion Correction™
“Five months after surgery, I ran my first 10K; ten months later, a half marathon.”
Watch April’s Story Below
“I think I was most surprised that I was able to walk so soon and put pressure on my foot again without much pain.”
Watch Tom’s Story Below
Frequently Asked Questions
Is the Lapiplasty® Procedure covered by insurance?
Yes, good news — Most insurances and Medicare do typically cover bunionectomy and joint fusion procedures that utilize the Lapiplasty® System when the procedures are medically necessary.
Your doctor’s office can reach out to your provider to determine your specific level of coverage and communicate coverage back to you after he/she has had a chance to evaluate you and make a surgical plan.
Can the Lapiplasty® Procedure be performed as an outpatient procedure and how long does it last?
Yes, the Lapiplasty® Procedure is performed as an outpatient procedure. It can be performed either in a surgical center setting or in a hospital setting with the average surgery time around a hour.
Of course, if you have other procedures performed simultaneously along with Lapiplasty® 3D Bunion Correction™, that will influence the length of surgery time — however, an overnight stay will not be required and you will return home, the same day of surgery
Can I wear my choice of footwear again?
Yes. After the Lapiplasty® Procedure recovery period is completed, and you foot has healed, you should be able to wear whatever footwear you would normally wear!
When can I return to sports / activities?
The Lapiplasty® Procedure has been used effectively on highly active patients. Most patients can return to low-impact activities at 3 months after surgery. And, typically patients are released to return to full activity, including impact sports, at 4-6 months.
Can the Lapiplasty® Procedure be performed on someone who has previously had traditional surgery?
Yes. It is possible to have a failed 2D bunion surgery corrected and have an excellent clinical outcome.
Of course, it will be up to a doctor to do an evaluation of your foot in order to tell you if this could work for your particular and unique condition.
Looking for More In-Depth Information Including Benefit and Risk?


Lapiplasty® Brochure
Learn more about Lapiplasty® in English or Spanish
1. Ray J, et al. Foot Ankle Int. 2019 Aug;40(8):955-960.
2. American College of Foot & Ankle Surgeons website
3. Dayton P, et al. J Foot Ankle Surg. 2020, 59(2): 291-297.